Ankylosis
This refers to a tooth or teeth (primary or permanent) that have become "fused" to the bone, preventing it or them from moving "down" with the bone as the jaws grow. This process can affect any teeth in the mouth, but it is more common on primary first molars and teeth that have suffered trauma (typically the incisors). Treatment can vary depending on the degree of severity of the ankylosis (how "sunken into the gums" a tooth may appear). The degree of severity usually will vary depending on how early the process started, and as a general rule, the earlier it starts, the more severe the ankylosis becomes with age. Several considerations must be taken before any treatment is provided, and your dentist will discuss all the risks and benefits of each treatment option.

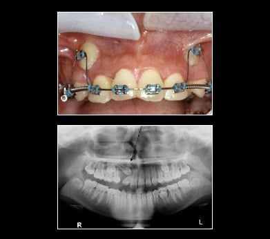
Ectopia
Ectopic canines are generally found in the Buccal Vestibule. Impacted canines may be retrieved with braces, using a surgical approach via a gold chain or straight wire. Tissue covering the tooth is uncovered. A chain or wire is attached to the tooth crown. Tissue is placed back over the tooth leaving the chain or wire coming out of the gum. For the purpose of this illustration a gold chain is used to retrieve the canines. The chain is attached to the tooth crown and the link is attached to a flexible archwire so that the wire is active (bent). Once a month, the wire is reactivated by using the next link up on the chain until the impacted canine erupts enough to attach a regular bracket on the canine. With the regular bracket in place, a more flexible wire is added directly to the bracketed canine. This process will bring the canine into position within the arch by forcing the canine to conform to the straight archwire form. This is a long process taking anywhere from 8-12 months.

How Much Fluoride Is Too Much?
Fluoride is perfectly safe when used as directed by our dental office however there are some issues that can arise from using too much fluoride. Toxic levels of fluoride depend on person-to-person so it is important that you speak with us first before considering using a questionable amount of fluoride or if you have a child whose teeth are currently developing.
Fluorosis is a condition where exposure to too much fluoride causes defects in the tooth's enamel layer that often look like white patches or streaks across a tooth. In severe fluorosis cases, these patches or streaks can be brown in color making them a severe cosmetic concern and are often embarrassing for many people who have this condition. Fluorosis is most common in children with developing permanent teeth where fluoride levels are not properly applied and/or monitored but can become a problem to virtually anyone at any age.
If you think you have or have been told you have a mild to severe case of fluorosis, we want you to know that we can help lighten or remove the stains to teeth caused by excessive fluoride exposure. Request an appointment or call our office directly at 916-988-2323 to come in and have us take a look at your condition. In just one appointment we can significantly reduce the cosmetic blemishes of fluorosis.

Mesiodens
Mesiodens is the most common type of "supernumerary" (extra) tooth. It is typically discovered on routine radiographs taken in young children (3-6 years of age) and is always located in the mid-line between the upper permanent central incisors. The most common complications of all supernumerary teeth (including mesiodens) is delayed or lack of eruption of the adjacent permanent teeth. Only about 25% of mesiodens erupt spontaneously, therefore most of them require surgical management. Treatment of mesiodens is deferred until permanent incisors have at least 2/3 of root development (between ages 7-9), since early treatment can cause damage to the unerupted permanent incisors.

Mucocele
This is a common benign lesion in children and adolescents that results from the rupture of the excretory ducts (very small tubes) that deliver saliva to the top tissues of the lips. More than 75% of mucocele are located on the lower lip and their size and color may vary, however, they tend to be relatively painless for the most part. Most of the time, patients report that these "bumps" grow until they burst spontaneously, leaving small ulcers that heal within a few days. This does not mean the lesion is gone, as they often tend to re-appear weeks or months later. Most dentists will recommend surgical treatment for these lesions.

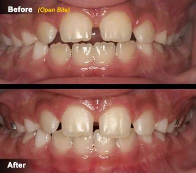
Open Bite and Cross Bite
These are two common problems in children that have their origin in discrepancies between the size of the jaws (top and bottom), or discrepancies between the size of the teeth and the amount of space available.
- A posterior cross bite can appear at an early age, and depending on its cause (malpositioned teeth or misaligned jaws) treatment may be warranted early. It can involve one or both sides of the molar area and in some cases in can cause a "shift" of the bite. Many appliances are available for treating this condition and your dentist will discuss in detail the risks and benefits of treating a posterior cross bite.
- Anterior open bites refer to a condition in which the top and bottom front teeth are not in contact (they do not touch each other when the patient bites). The origins of open bites can be traced to habits that patients have or had in the past, and occasionally to discrepancies between the sizes of the jaws. Since most open bites in children are associated to an existing habit, treatment usually addresses the habit itself and is most effective when done at an early age. Many appliances are available for treating this condition and your dentist will discuss in detail the risks and benefits of treating an open bite in children.

Pulpotomy
Baby teeth that have large caries (cavities) and some degree of pain occasionally require that the "coronal" (top) portion of that tooth's nerve be removed before a filling or a crown (preferably) is placed. The main goal of this procedure is to preserve the baby tooth, since baby teeth help to maintain adequate room for the permanent teeth. Pulpotomies have published success rates that range from 60% to 90% and represent a good and reliable way to save a badly decayed baby tooth.

Ranula
This is a relatively uncommon benign cyst in children and adolescents that appears in the floor of the mouth as a result of blockage of the salivary duct located under the tongue. Just like other mucous retention cysts (formed by pooled saliva), Ranulas tend to be relatively painless; however most of them will require surgical treatment. Your dentist will refer you to an oral surgeon for evaluation and treatment.

