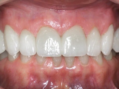
Healthy Gums
Healthy gums are generally pink and anchor the teeth firmly in place. Healthy gums do not bleed or hurt during normal brushing and flossing.
Early forms of gum disease can easily be treated and reversed with daily brushing and flossing and dental checkups every 6 months. InfoStar Dental Template 2 can get you on your way to healthy gums. All you need to do is call 916-988-2323 or request an appointment online and come in for a visit. Your gums will be glad you did!

About Periodontal Disease
Periodontal disease is an infection of the gums, which gradually leads to the destruction of the support of your natural teeth. This disease affects more than 80% of Americans by the age of 45.
Dental plaque is the primary cause of gum disease. Bacteria found in plaque produce enzymes and toxins which injure the gums. Injured gums turn red, swell and bleed easily.
If this injury is prolonged, the gums separate from the teeth, causing pockets (spaces) to form.
Plaque can also harden into a rough, porous substance known as calculus (tartar).
This can occur both above and below the gum line. As periodontal disease progresses, the supporting gum tissue and bone that holds the teeth in place deteriorate.
If left untreated, this leads to tooth loss. Pain is usually not present until damage from this disease is very advanced.

Causes of Gum Disease
Our mouths are full of bacteria from the foods we eat. This bacteria constantly builds-up throughout the day and becomes the sticky, colorless substance on our teeth we call "plaque."
If plaque is allowed to stay on the surface of your teeth for extended periods of time, it begins to harden into "tartar." Removing plaque from daily brushing will help prevent tartar from forming. Tartar is much more difficult to remove and allows the bacteria within to eat away at the surrounding tooth and gum tissues.
As bacteria that's allowed to sit along the gumline continues, it causes the gums to become inflamed and turn red. This is known as "gingivitis" and if left untreated, it can advance to "periodontitis," which is an inflammation around the tooth that starts to affect the bony tooth-support.
At this point, gums pull away from the tooth and form "pockets" that become infected. Plaque and tartar spread and grow below the gum line and break down the bone and connective tissue. If this cycle is left untreated, it will typically progress to the point where the tooth needs to be removed.
Daily brushing and flossing as well as regular visits to the dentist help keep plaque and tartar from causing issues associated from gingivitis and periodontitis.
Periodontal Health Effects
Studies have shown links between periodontal (gum) disease, heart disease and other health conditions.
Research further suggests that gum disease may be a more serious risk for heart disease, more so than hypertension, smoking, cholesterol, gender or age.
Researchers' conclusions suggest that bacteria present in infected gums can become loose and move throughout the body through the bloodstream. Once bacteria reach the arteries, they can irritate them in the same way that they irritate gum tissue causing arterial plaque, which can cause hardening and affect blood flow.

Stages Of Gum Disease
Gingivitis is an early stage of gum disease. Gingivitis develops as toxins, enzymes and other plaque byproducts by irritating the gums, making them tender, swollen and likely to bleed easily. Gingivitis generally can be stopped with proper oral hygiene and minor treatment from your dentist. If this is achieved, your gums can return to a healthy state.
Moderate gum disease is when the tooth's bone tissue starts to deteriorate. Periodontitis occurs when plaque byproducts destroy the tissues that anchor your teeth in the bone. The gums deteriorate and begin detaching themselves from the teeth forming gum pockets, which allows more plaque to collect below the gum line. This causes the roots of the teeth to become susceptible to decay. Generally, patients notice an increase in sensitivity to hot and cold and to touch.
Advanced periodontitis occurs when a major amount of gum and bone tissue has been lost and the teeth are losing more and more support due to the loss of periodontal ligament and bone. Some teeth are unable to be saved and must be extracted. If left untreated, advanced periodontitis can cause severe health problems elsewhere in the body.
Sensitivity
Suppress the urge to avoid cleaning teeth that are sensitive to cold! Teeth that have suffered damage from gum disease will always be more sensitive to cold. Avoiding them only makes it worse.
After any dental treatment, teeth may become sensitive. This is their way of letting you know that they've been injured. Any injury (cavity, tooth clenching/grinding, gum infection) can injure the nerves in a tooth. This should not last long if the teeth are kept clean. If the teeth are not kept clean, the sensitivity will remain or get worse.
If your teeth are especially sensitive, consult with your dentist. This could be a sign of the need for root canal treatment, a gum tissue graft, a desensitizing toothpaste (with potassium nitrate), or a concentrated fluoride gel (0.4% stannous- or 1.1% sodium-fluoride) may do the trick.
LANAP Laser Treatment
WHY IS THE LANAP® PROCEDURE better for the treatment of gum disease?
The LANAP® Procedure is about as easy as erasing a blackboard, there's NO CUTTING and NO SUTURING.
There's much less discomfort with the LANAP® Protocol than with standard periodontal surgery -- during and after the procedure.
It takes less time than traditional periodontal surgery. All it takes is two 2-hour visits to the dentist and several follow up visits. Traditional periodontal surgery requires four sessions of about one hour each, with subsequent visits for suture removal and additional check-ups.
LANAP® gives better, longer-lasting results. In fact, 98% of LANAP® treated patients remain stable after five years.
After the laser treatment a soft diet is recommend for several days. In most cases patients will feel good enough to eat anything they want after the procedure, specific instructions will be given to you based on your dental needs.
There's less than 24 hour recovery period, so you won't lose time from work.
The LANAP® Procedure is safe for patients with health concerns such as diabetes, HIV, hemophilia, or those taking medications such as Plavix or aspirin.
