Teeth Whitening
Looking for Teeth Whitening in Orangevale? Yearning for a bright youthful smile?
InfoStar Dental Template 2 offers a full range of cosmetic dentistry including professional teeth whitening. Teeth whitening is the #1 requested and performed cosmetic dental procedure. Teeth whitening (sometimes called teeth bleaching) is a procedure that brightens teeth and helps to remove stains and discoloration.
Throughout the day, a thin coating of bio-film collect on teeth. The bio-film can attract stains that can be trapped in the pores of tooth's enamel.
Teeth whitening by a dental professional is key as cavities need to be treated before teeth are whitened. Cavities are problematic because whitening solution can penetrate the cavity allowing decay to reach inner areas of a tooth. People with good dental health may also use a kit to whiten teeth at home. However, in a single office visit, teeth whitening performed by a dental professional will produce brighter results that are more consistent in color across all teeth.

Understanding Tooth Stains
The outer-most layer of your tooth, the enamel, is what becomes stained or discolored and adversely, whitened during teeth whitening treatment. The tooth's enamel is actually quite porous when looked at up close and thinking about it this way makes it easier to understand how teeth can become stained.
Coffee, tea, colas, wine, certain fruits and vegetables, smoking or chewing tobacco and inadequate brushing and flossing can all cause the tooth's enamel to stain. Tiny microscopic particles lodge themselves into the porous enamel layer of your teeth which causes the overall appearance of the tooth to become discolored. InfoStar Dental Template 2 offers professional-grade whitening solutions that eliminate stains and discoloration by blasting out the particles within the porous enamel layer and effectively bleaching the enamel. What is left behind is a beautiful whiter enamel layer.

Single Visit Whitening
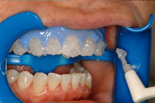
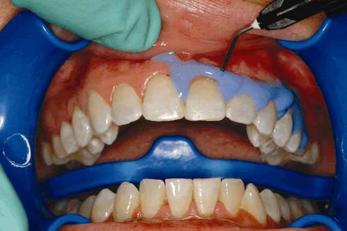
- Preparation - We start the whitening process by covering your lips and gums leaving only your teeth exposed. At this time, we can usually estimate how white your new smile will be by matching your teeth with a whitening shade and estimate approximately up to 8 shades whiter from here.
- Application - Next a high-strength whitening gel is applied to the surfaces of your teeth. This special gel is specifically designed to work with the whitening light.
- Whitening - The whitening light is placed directly in front of your teeth to maximize exposure to the gel. The special light activates the gel which gently penetrates the outer-most (enamel) layer of your teeth; breaking up stains and discoloration during the process.
- Smile - Smile with confidence as you leave the office with a brighter, whiter smile!
If you are thinking about whitening your teeth and would like to try our whitening service, call us anytime at 916-988-2323 or request an appointment online and come see what it's all about!
Whitening Your Smile
With Powerful & Fast Results
Are you a heavy coffee drinker? Do you smoke? Do you drink soda? Are your teeth naturally discolored? If so, chances are your teeth have seen whiter days. InfoStar Dental Template 2 makes whitening your teeth extremely fast and affordable with our powerful whitening system. With this whitening system that only a dentist can provide (not to be mistaken for those mall-style teeth whitening stations we've all seen), we are able to whiten stained and discolored teeth up to 9 shades whiter in less than an hour!
Powerful Home Whitening Kits
InfoStar Dental Template 2 can send you home with home teeth whitening kits that contain an extra-strength concentrated whitening solutions that you can't get from a supermarket or over the counter. We use home whitening kits that are able to attack even the deepest tooth stains and eliminate tooth discoloration.

KöR® Whitening
KöR® Whitening Deep Bleaching is the most effective whitening system in the world today. KöR Whitening is the only system recognized to significantly whiten even difficult tetracycline stained teeth within a short time. Just imagine the results with your average whitening patients.

What is SAPPHIRE Whitening?
The Sapphire Light is a breakthrough, versatile Plasma Arc Light (PAC) that can be used for both fast-curing and chairside bleaching. The Sapphire Plasma Arc Light with the Rembrandt Lightning System is clinically proven to whiten teeth 10 shades.
Breakthrough technology, available only with the Sapphire Light, provides unparalleled performance. Light-cured composites cure in three seconds and dual-arch bleaching is completed in 60 minutes.
The Sapphire Light is the cornerstone of the Rembrandt One-Hour Smile Whitening Program. It can be used to individually whiten teeth for a uniform shade, and in conjunction with the Whitening Crystal, it can perform dual-arch bleaching. Fast, convenient, comfortable, economical... unparalleled!

Sapphire Single-Visit Teeth Whitening
We start the in-office whitening process by covering your lips and gums leaving only your teeth exposed. At this time, we can usually estimate how white your new smile will be by matching your teeth with a whitening shade and estimate approximately up to 9 shades whiter from here.
Next a high-strength proprietary whitening gel is applied to the surfaces of your teeth. This special gel is specifically designed to work with the in-office whitening light.
The in-office whitening light is placed directly in front of your teeth to maximize exposure to the gel. The special light activates the gel which gently penetrates the outer-most (enamel) layer of your teeth; breaking up stains and discoloration during the process.
Smile with confidence as you leave the office with a brighter, whiter smile!
If you are thinking about whitening your teeth and would like to try our Sapphire whitening service, call us anytime at 916-988-2323 or request an appointment and come see what it's all about!
Is Sapphire Single-visit Teeth Whitening Expensive?
At first, it may seem like being able to whiten your teeth up to 9 shades whiter in a single dental visit would cost a fortune right? That's not the case at all! Advances in smile whitening technology and procedure techniques have drastically cut down on the cost to patients. At InfoStar Dental Template 2, Sapphire single-visit smile whitening is extremely affordable for the everyday patient and is one of the cheapest cosmetic dental procedures available in dentistry today.
Single-visit whitening (generally) costs slightly more than at-home whitening kits. That said, with our single-visit whitening system, you're getting a super fast whitening result of up to 9 shades whiter in about one hour vs. weeks of nightly applications with home-whitening kits. You're also getting a deeper whitening (longer lasting) result because single-visit whitening uses a concentrated whitening gel which activates using a specialized whitening light.
Because results may vary depending on the existing color, shade and condition of your teeth, we invite you to request an appointment and come in so we can take a look at your smile.

Sapphire Whitening vs. Do-it-yourself At-home Whitening Kits
Today, whitening your teeth can be done using a variety of products and services. Do-it-yourself at-home whitening kits are available at your local supermarket and are an effective way to whiten teeth but require frequent applications for weeks at a time to achieve a whiter smile.
Our Sapphire whitening system uses a specialized concentrated whitening gel that you can't find in supermarkets and is activated by using a powerful whitening light that is also not available to the general public. Sapphire smile whitening is done in the dental office and only requires 1 dental visit compared to nightly whitening applications from an at-home whitening kit.
Any form of teeth whitening can achieve great results. Single-visit whitening enables those with time-sensitive occasions such as a wedding, reunion, etc. to whiten their teeth now however, home whitening is an extremely affordable whitening method you can do yourself!

ZOOM Whitening
We start the Zoom whitening process by covering your lips and gums leaving only your teeth exposed. At this time, we can usually estimate how white your new smile will be by matching your teeth with a whitening shade and estimate approximately up to 8 shades whiter from here.
Next a high-strength proprietary whitening gel is applied to the surfaces of your teeth. This special gel is specifically designed to work with the Zoom whitening light.
The Zoom whitening light is placed directly in front of your teeth to maximize exposure to the gel. The special light activates the gel which gently penetrates the outer-most (enamel) layer of your teeth; breaking up stains and discoloration during the process.
Smile with confidence as you leave the office with a brighter, whiter smile!
If you are thinking about whitening your teeth and would like to try our Zoom whitening service, call us anytime at 916-988-2323 or request an appointment online and come see what it's all about!
Is Zoom Single-visit Teeth Whitening Expensive?
At first, it may seem like being able to whiten your teeth up to 8 shades whiter in a single dental visit would cost a fortune right? That's not the case at all! Advances in smile whitening technology and procedure techniques have drastically cut down on the cost to patients. At InfoStar Dental Template 2, Zoom single-visit smile whitening is extremely affordable for the everyday patient and is one of the cheapest cosmetic dental procedures available in dentistry today.
Single-visit whitening (generally) costs slightly more than at-home whitening kits. That said, with our single-visit whitening system, you're getting a super fast whitening result of up to 8 shades whiter in about one hour vs. weeks of nightly applications with home-whitening kits. You're also getting a deeper whitening (longer lasting) result because single-visit whitening uses a concentrated whitening gel which activates using a specialized whitening light.
Because results may vary depending on the existing color, shade and condition of your teeth, we invite you to request an appointment and come in so we can take a look at your smile.

Zoom Whitening vs. Do-it-yourself At-home Whitening Kits
Today, whitening your teeth can be done using a variety of products and services. Do-it-yourself at-home whitening kits are available at your local supermarket and are an effective way to whiten teeth but require frequent applications for weeks at a time to achieve a whiter smile.
Our Zoom whitening system uses a specialized concentrated whitening gel that you can't find in supermarkets and is activated by using a powerful whitening light that is also not available to the general public. Zoom smile whitening is done in the dental office and only requires 1 dental visit compared to nightly whitening applications from an at-home whitening kit.
Any form of teeth whitening can achieve great results. Single-visit whitening enables those with time-sensitive occasions such as a wedding, reunion, etc. to whiten their teeth now however, home whitening is an extremely affordable whitening method you can do yourself!

Opalescence Boost
Opalescence Boost features a unique, chemically activated formula that allows your dentist to whiten your teeth without the bothersome heat or ultraviolet rays of a light. Opalescence Boost also contains potassium nitrate and fluoride, which help to improve oral health by strengthening enamel, decreasing sensitivity, and offering increased cavity prevention.

Opalescence Take Home Whitening
Opalescence Take Home Whitening Gels are only available from your dentist, who will supervise your treatment from initial consultation through completion. The sticky, viscous gel won't migrate to gums and most formulations include Potassium Fluoride (PF), which helps to improve oral health by strengthening enamel, decreasing sensitivity and offering increased cavity prevention.

DIY vs. Dentist-provided Home Whitening Kits
KNOW THE DIFFERENCE!
There is a difference between the teeth whitening kits you can get from the supermarket and the high-strength home whitening kits our office is able to provide. Store-bought do-it-yourself whitening kits feature a "boil-and-fit" mouthpiece that can be uncomfortable and generally requires more whitening gel per tooth to achieve whiter teeth. The gels in the store-bought whitening kits are also are not as concentrated as what we can offer which means it takes longer to achieve desired results. InfoStar Dental Template 2 uses kits that are able to create an exact-fit whitening tray that is custom built for your teeth. This maximizes the displacement and effectiveness of the whitening gel ensuring that it surrounds the teeth evenly and entirely. Additionally, our home-whitening kits use a high-strength proprietary whitening gel that you can't get over-the-counter from a supermarket which means your teeth get a deeper and longer lasting result in less time.
If you are thinking or have any questions about our single-visit teeth whitening system or about our take-home whitening kits, please call us at 916-988-2323 . You can also request an appointment and get set-up for your one-hour whitening appointment.

Home Whitening
The most common type of home teeth whitening involves placing a gel-like whitening solution, which usually contains hydrogen peroxide, in a tray that resembles a Nightguard or mouth guard. Over-the-counter mouthpieces are unlikely to fit correctly and can cause gum irritation if the whitening agent seeps out. The tray is then placed over the teeth for a certain period of time, anywhere from an hour or two to overnight.
